На текущий момент статистика отделения насчитывает более 100 тысяч исследований пациентов, как с помощью рутинных методов обследования, так и с применением оригинальных методик, разработанных в отделе. Исследования проводятся на современных ультразвуковых диагностических приборах экспертного класса фирм Phillips, General Electric, B-K Medicals, Hitachi и Esaote, позволяющих:
- получить изображение высокой степени разрешения
- построить трехмерное изображение исследуемого органа
- провести допплерографическое исследование
- ультразвуковую компрессионную эластографию и сдвиговой волны
- ультразвуковое исследование с внутривенным контрастным усилением.
ПЕРЕЧЕНЬ ИССЛЕДОВАНИЙ, ПРОВОДИМЫХ В ОТДЕЛЕ УЛЬТРАЗВУКОВОЙ ДИАГНОСТИКИ
- УЗИ кишечника при опухолях, воспалительных заболеваниях (ЯК и БК), дивертикулярной болезни ободочной кишки, эндометриозе.
- УЗИ кишечника с проведением компрессионной эластографии, с применением внутривенного контрастирования, 3D реконструкцией изображения.
- Комплексное УЗИ кишечника с проведением 3D реконструкции изображения.
- УЗИ прямой кишки ректальным датчиком при злокачественных и доброкачественных опухолях, остром парапроктите, свищах, ректоцеле, выпадении прямой кишки, опущении промежности, недостаточности анального сфинктера (послеоперационной, послеродовой, посттравматической), позадишеечном эндометриозе.
- Комплексное УЗИ прямой кишки ректальным датчиком с проведением 3D реконструкции изображения и компрессионной эластографии.
- УЗИ мягких тканей промежности при ЭКХ, пиодермии промежности, опухолях и т.д.
- УЗИ гепатобилиарной зоны (печени, желчного пузыря, поджелудочной железы, селезенки).
|
|
- УЗИ органов малого таза у колопроктологических больных через переднюю брюшную стенку.
- УЗИ почек и надпочечников.
- УЗИ забрюшинного пространства.
- Комплексное УЗИ органов малого таза у мужчин (чрезкожное и трансректальное).
- Комплексное УЗИ органов малого таза у женщин (чрезкожное и трансвагинальное).
- УЗИ мочевого пузыря с определением остаточной мочи.
- УЗИ поверхностно расположенных лимфатических узлов (паховые, подмышечные, надключичные, подключичные, шеи).
- УЗИ щитовидной железы.
- УЗИ молочных желез.
- УЗИ органов мошонки.
- Дуплексное исследование сосудов конечностей.
- Дуплексное исследование сосудов брюшной полости.
- Интраоперационное УЗИ органов брюшной полости.
- Эхокардиография.
- Чрезкожная диагностическая пункция печени и паховых лимфатических узлов.
- Чрезкожная лечебная пункция с дренированием патологического образования в брюшной полости.
|
ПРАВИЛА ПОДГОТОВКИ ПАЦИЕНТОВ К УЛЬТРАЗВУКОВОМУ ИССЛЕДОВАНИЮ
Научно-практическая работа в отделе проводится по трем основным направлениям:
- изучение возможностей ультрасонографии в диагностике колопроктологических заболеваний;
Несомненным преимуществом ультрасонографии является возможность проведения исследования в режиме реального времени. В отличие от других методов лучевой диагностики, ультразвуковое исследование можно проводить многократно, поскольку оно не является источником ионизирующего излучения и может быть использовано без вреда даже у беременных женщин и новорожденных детей.
- малоинвазивные вмешательства под контролем ультразвука;
- функциональные исследования.
Сотрудниками отдела:
- опубликовано более 200 работ,
- получено 6 патентов на изобретения,
- защищены 6 кандидатских и одна докторская диссертации,
- написаны главы в "Клиническом руководстве по ультразвуковой диагностике" (1996),
|
|
- написаны главы в "Практическом руководстве по ультразвуковой диагностике" (2003, 2010),
- написаны главы в монографии "Неспецифические воспалительные заболевания кишечника" (2008),
- написаны главы в Национальном руководстве по лучевой диагностике (2014)
|
В отделе разработаны и внедрены в клиническую практику методики ультразвукового исследования ободочной и прямой кишки через переднюю брюшную стенку и с помощью ректального датчика, что позволяет выявить и провести дифференциальную диагностику доброкачественных и злокачественных заболеваний толстой кишки, анального канала и промежности.
Оригинальные методики ультразвукового исследования ободочной и прямой кишок играют важную роль в первичной диагностике свищей прямой кишки, дивертикулярной болезни, язвенного колита и болезни Крона, также разработаны методики функциональных исследований, позволяющих оценить сократительную способность мышц тазового дна, что играет важную роль в диагностике ректоцеле, внутреннего выпадения прямой кишки и других заболеваний.
В ФГБУ «НМИЦ колопроктологии имени А.Н. Рыжих» Минздрава России стало рутинным выполнение интраоперационных ультразвуковых исследований при лапароскопических и открытых операциях по поводу различных колоректальных заболеваний.
Ультразвуковое исследование, выполненное во время операции, позволяет оценить распространенность патологического процесса толстой кишки и оптимизировать выбор объема хирургического вмешательства.
Для диагностики послеоперационных осложнений разработаны схемы ультразвукового мониторинга. Дренирование послеоперационных гематом и абсцессов брюшной полости под контролем УЗИ позволило избежать повторных операций.
Опыт ультразвуковых исследований у больных с каудальными тератомами и внеорганными опухолями малого таза, накопленный сотрудниками отделения, уникален не только для России, но и для мировой медицины.
Помимо специфической колоректальной патологии в отделении освоен весь спектр ультразвуковой диагностики сопутствующих заболеваний: печени и желчных путей, поджелудочной железы, селезенки, мочеполовой системы, органов малого таза, щитовидной и молочных желез, сердца и сосудов.
Немаловажным является вклад отделения в процесс наблюдения за пациентами после лечения, проведенного в Центре. Ультрасонография, как наиболее безопасный и эффективный метод мониторинга больных после операций по поводу опухолей толстой кишки, - это наиболее частое исследование назначаемое хирургами в процессе наблюдения за больными.
Можно с уверенностью сказать, что благодаря усилиям сотрудников отделения создано новое направление ультразвуковой диагностики - колопроктологическое.

Панорамное сканирование 2D Ультразвуковое исследование передней брюшной стенки (в толще определяется гематома).
|
|

Эндоректальное 3D ультразвуковое исследование - местнораспростаренная опухоль прямой кишки.
|

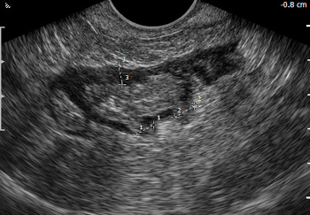
Трансвагинальное 2D ультразвуковое исследование сигмовидной кишки пораженной дивертикулами.
|
|

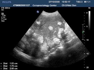
Трансабдоминальное 2D ультразвуковое исследование печени. Множественные очаговые образования.
|

Ультразвуковое исследование прямой кишки. Ультразвуковая компрессионная эластография ворсинчатой опухоли прямой кишки.
|
|

Ультразвуковое исследование тонкой кишки с внутривенным контрастным усилением при болезни Крона.
|

Ультразвуковое исследование прямой кишки. Ультразвуковая компрессионная эластография ворсинчатой опухоли прямой кишки.
|